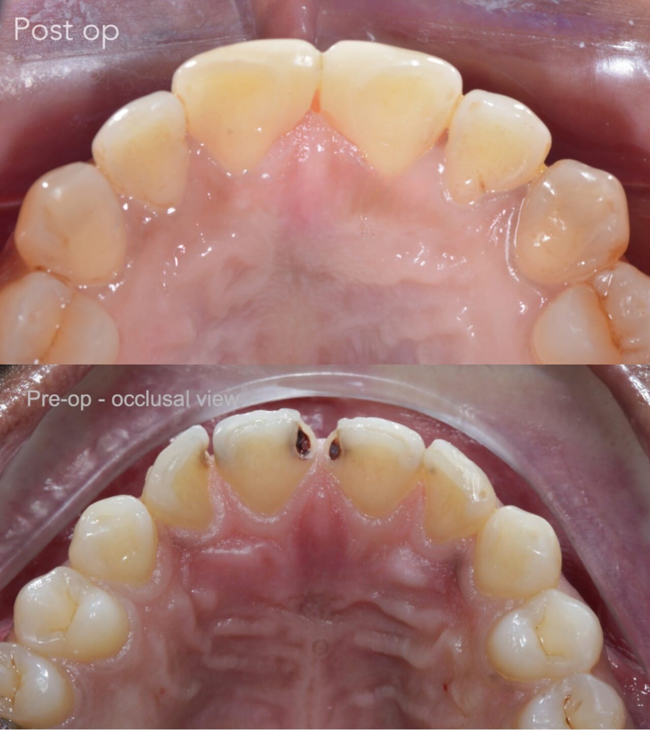
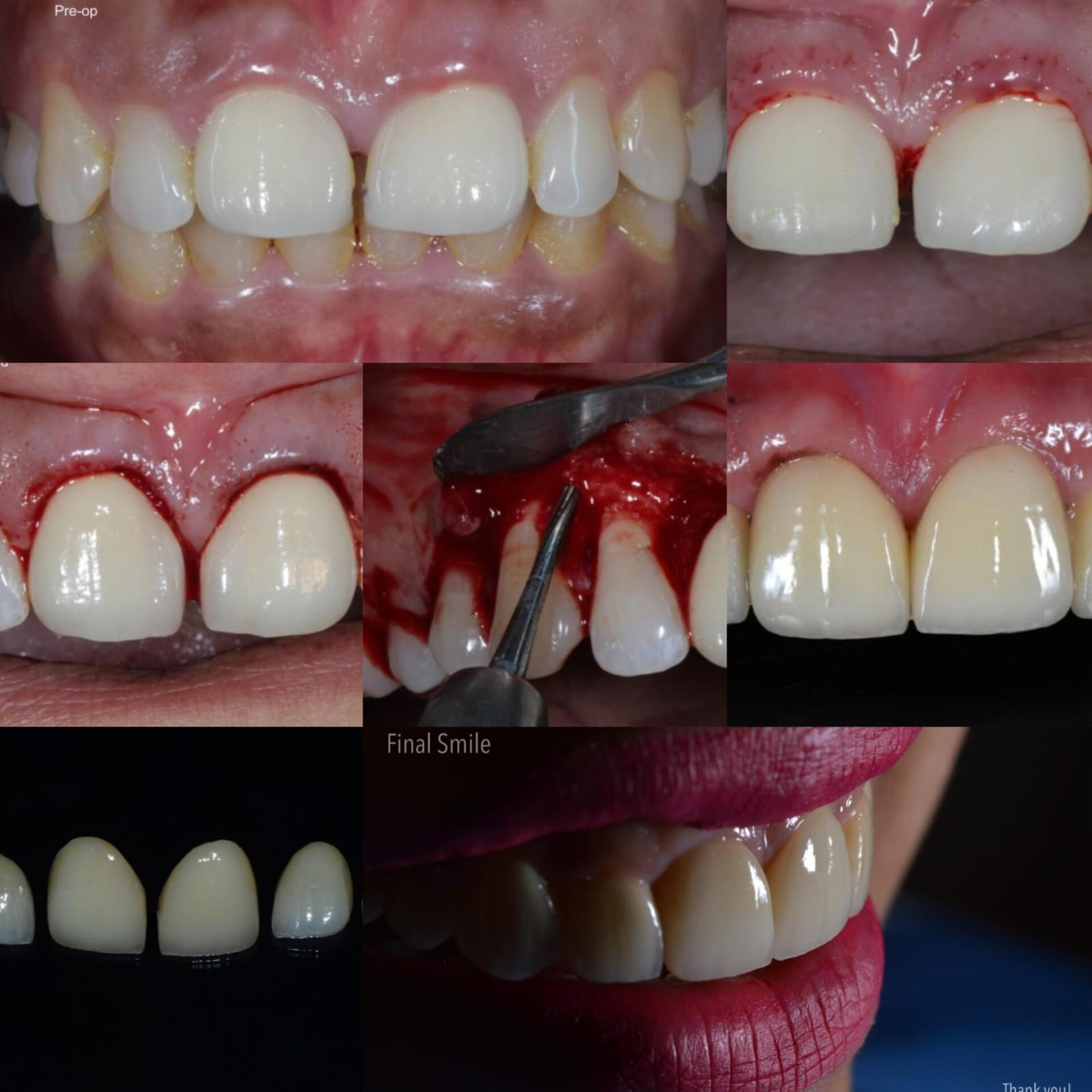
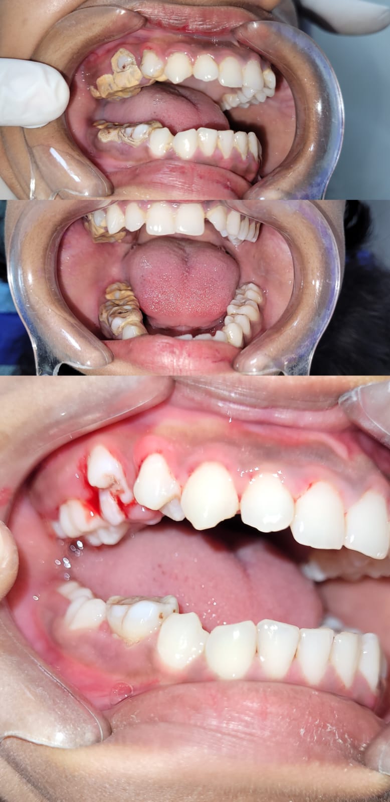
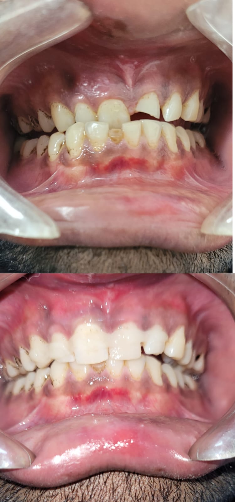
What Our Patients Say
We don’t believe in exaggerating, so let’s know from our patients what they say about us! Their real-life experiences will help you understand the genuine reviews about us. Watch the videos below and understand what patients say about our Luxe Dental Patna.
EXCELLENT Based on 18 reviews Posted on Bharat BhushanTrustindex verifies that the original source of the review is Google. I am Highly satisfied with my mothers Treatment.So polite and humble Dr.Posted on LE BBP FRENCH ACADEMY frenchTrustindex verifies that the original source of the review is Google. Luxe Dental Clinic ,patna bihar I had a wonderful experience at Luxe Dental Clinic patna . The staff is incredibly professional, courteous, and attentive. From the moment I walked in, I was impressed by the modern, clean, and calming environment. The doctors explained everything in detail and made sure I was comfortable throughout the procedure. The equipment is top-notch, and the hygiene standards are excellent. I truly felt like I was in safe hands. I highly recommend Luxe Dental Clinic to anyone looking for quality dental care with a touch of luxury. Great service, skilled professionals, and a pleasant atmosphere Thank you to the entire team for making my visit smooth and stress-free!Posted on Vikash KumarTrustindex verifies that the original source of the review is Google. Painless RCT at LUXE DENTAL CLINIC! I was nervous at first, but the calm environment and friendly staff made me feel at ease. Dr. Brajbala Kumari and Dr. Shyam Bhagat explained everything clearly and treated me with great care. The best part? The entire root canal was quick, painless, and done with modern technology. Highly recommended for anyone looking for safe and advanced dental care!Posted on Ravikeshav singhTrustindex verifies that the original source of the review is Google. Best servicePosted on Kanchan KumarTrustindex verifies that the original source of the review is Google. One of the best dental clinic I have ever visited in patna. Treatment and councelling was 5 star . I had great relief in my first root canal treatment ( RCT) from first day . Must visit once to get the best treatment in patna. For Most hygienic and best treatment. Thankyou Doctor Brajbala MamPosted on Priyanshu RajTrustindex verifies that the original source of the review is Google. I had an excellent experience at Dr. Brajbala kumari and Dr. Shyam Bhagat’s dental clinic. Both doctors are highly professional, kind, and patient. They explained every procedure clearly and made sure I was comfortable throughout my treatment. The clinic is clean, well-equipped, and follows proper hygiene standards. The staff is also very polite and helpful. I’m very satisfied with the care I received and would highly recommend this clinic to anyone looking for quality dental treatment.Posted on Shreya ShrivastavaTrustindex verifies that the original source of the review is Google. It was a great experience. Dr is competent, listen to the patient diligently and gives good consultation. Also they’re very cooperative and knowledgeable. I had my treatment done which was peacefully done by doctor and the clinic is maintained with the very well equipped instruments.Posted on mridul mridulTrustindex verifies that the original source of the review is Google. I got my Rct done from Luxe dental clinic. The doctors are really nice and polite. I was very scared for the procedure but had a very smooth appointment with no pain at all. I am so glad to have found a clinic with doctors who listened to my doubts and explained me thoroughly regarding oral health.Posted on Rajnishsoni SoniTrustindex verifies that the original source of the review is Google. My experience was very good

















































